Окодент
+7 (812) 601 66-16

Наши работы

  • Исправление прикуса с помощью элайнеров
  • Установка 4-х керамических виниров
1 год
200 т.р.

Пациентку беспокоила эстетика улыбки: большое расстояние между зубами, неровная линия улыбки. Первый этап лечения - перемещение зубов с помощью прозрачных капп (элайнеров) провела врач-ортодонт Стасенко-Якубас Юлия Вадимовна. В результате получили правильное положение зубов, функциональный прикус. Для достижения отличной эстетики: закрытия расстояния между зубами, изменения формы зубов врачом-ортопедом Палаус Маргаритой Игоревной были установлены 4 керамических винира.

Палаус
Маргарита Игоревна
Стоматолог-ортопед, гнатолог
  • исправление прикуса с помощью брекетов
  • долечивание на элайнерах
  • установка 6-ти керамических виниров
1 год
250 т.р.

Пациент обратился с жалобой на эстетику улыбки. Нашим врачом стоматологом ортодонтом Стасенко-Якубас Юлией Вадимовной было проведено сложное лечение на брекет-системе и элайнерах. Удалось добиться значительного улучшения эстетики лица, улучшения функции дыхания и жевания. После завершения ортодонтического этапа врачом стоматологом-ортопедом Палаус Маргаритой Игоревной пациенту были установлены 6 керамических виниров. Благодаря ортодонтической подготовке и цифровому планированию работы все зубы удалось оставить живыми. Обработка проводилась только в поверхностных слоях эмали. Керамические виниры не меняют цвет, не теряют блеск и не окрашиваются пищевыми красителями. Срок их службы при хорошей гигиене полости рта не ограничен.

Палаус
Маргарита Игоревна
Стоматолог-ортопед, гнатолог
  • установка 28 коронок из металлокерамики
2 месяца
400 т.р.
Клепацкая
(Ларина) Софья Алексеевна
Стоматолог-терапевт, стоматолог-ортопед
  • установка имплантата MIS C1
  • установка 3 коронок из диоксида циркония
5 месяцев
112 т.р.
Клепацкая
(Ларина) Софья Алексеевна
Стоматолог-терапевт, стоматолог-ортопед
Османова
Наида Джабраиловна
Стоматолог-хирург, имплантолог, руководитель направления цифрового планирования и навигационной хирургии
  • замена потемневшей коронки, установленной в другой клинике
  • пластика десны в области потемневшей коронки
  • клиническое удлинение коронки зуба 2.2
2 месяца
80 т.р.

Пациентка обратилась с жалобами на эстетический дефект. Имплантат поставлен в сторонней клинике около 1 года назад.
Проведена замена коронки и пластика десны в области имплантата в позиции зуба 1.2, а также клиническое удлинение коронки зуба 2.2. На фото результат спустя 6 месяцев после начала лечения.

Хирург - Ковалева Татьяна
Ортопед - Усачев Константин

Усачёв
Константин Алексеевич
Стоматолог-ортопед, протезист
  • удаление подвижных зубов верхней челюсти
  • имплантация по протоколу All-on-4
  • пластика десны
  • установка временного протеза
1 месяц
360 т.р.

7 месяцев назад на консультацию обратилась пациентка с жалобой на выраженную подвижность всех зубов на верхней челюсти, гноетечение из-под десны. После тщательного клинического и рентгенологического обследования было принято решение удалить все несостоятельные зубы и установить имплантаты по протоколу All-on-4 с транссинусальной установкой имплантата в позиции 1.5 через VISTA-доступ ввиду открытой линии улыбки,а также провести пластику десны в области каждой единицы искусственного зуба и временное протезирование армированной конструкцией в полную анатомию на 2 сутки после операции. Пациентка довольна результатом, постепенно готовимся к постоянному протезированию.

Усачёв
Константин Алексеевич
Стоматолог-ортопед, протезист
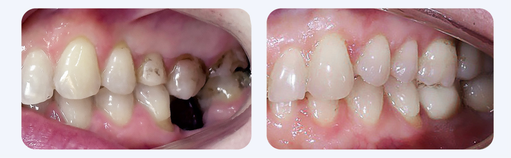
  • установка имплантата MIS С1
  • пластика десны
  • установка коронки из диоксида циркония
6 месяцев
105 т.р.
Палаус
Маргарита Игоревна
Стоматолог-ортопед, гнатолог
  • удаление подвижных зубов верхней челюсти
  • имплантация по протоколу All-on-4
  • пластика десны
  • установка временного протеза
1 месяц
240 т.р.

К нам обратилась пациентка 82 лет с жалобами на подвижность старых коронок, установленных более 10 лет назад. После обследования выяснилось, что зубы под коронками уже не выполняют свою функцию, в кости — воспаление и разрежение ткани.

Мы приняли решение провести удаление всех зубов верхней челюсти и сразу установить 4 имплантата по технологии “All-on-4” — это современное решение, которое позволяет восстановить всю челюсть всего на четырёх имплантах.

Операция прошла успешно, и уже через 7 дней пациентка получила временные зубы, с которыми можно есть, говорить и улыбаться. Впереди — установка постоянной конструкции.

Несмотря на возраст, восстановление прошло быстро и без осложнений. Это ещё раз доказывает, что качественная имплантация возможна в любом возрасте.

Битарова
Диана Юрьевна
Стоматолог-хирург, имплантолог
  • установка имплантата MIS C1
  • установка коронки из диоксида циркония
  • художественная реставрация 3-х зубов
5 месяцев
76 т.р.
Клепацкая
(Ларина) Софья Алексеевна
Стоматолог-терапевт, стоматолог-ортопед
Битарова
Диана Юрьевна
Стоматолог-хирург, имплантолог
  • установка 2-х имплантатов MIS C1
  • пластика мягких тканей
3 часа
100 т.р.

Пациентка обратилась в клинику с жалобами на отсутствие зубов на нижней челюсти слева. Были установлены два имплантата MIS C1, проведена пластика мягких тканей. На фотографиях рентгенологические снимки в день установки имплантатов и через год после операции. Наблюдается полная остеоинтеграция с сохранением и приростом костной ткани.

Битарова
Диана Юрьевна
Стоматолог-хирург, имплантолог
  • установка имплантата MIS C1
  • цифровое сканирование зубов
  • 3D-планирование коронки
  • установка коронки из диоксида циркония
6 месяцев
105 т.р.

Пациентка обратилась с жалобой на отсутствие зуба на нижней челюсти. Проведена установка имплантата MIS C1. После интеграции имплантата через 3 месяца проведено сканирование зубов, цифровое планирование будущей коронки и установка коронки из диоксида циркония. Применение современных технологий 3D визуализации позволяет провести работу максимально качественно и в кратчайшие сроки. Первое посещение - сканирование, второе посещение - фиксация коронки.

Палаус
Маргарита Игоревна
Стоматолог-ортопед, гнатолог
  • лечение кариеса
  • эстетическая реставрация центрального резца
1 час
7 т.р.
Комбалина
Яна Артёмовна
Стоматолог-терапевт
  • лечение кариеса 4-х зубов
  • художественная реставрация 4-х зубов
2 часа
28 т.р.
Комбалина
Яна Артёмовна
Стоматолог-терапевт
  • профессиональная гигиена полости рта и зубов
  • обучение домашней гигиене
  • укрепление эмали зубов APF гелем
1 час
4,5 т.р.
Бабелюх
Юлия Валерьевна
Стоматолог-хирург, пародонтолог
  • профессиональная гигиена полости рта и зубов
  • обучение домашней гигиене
  • укрепление эмали зубов APF гелем
1 час
4,5 т.р.
Бабелюх
Юлия Валерьевна
Стоматолог-хирург, пародонтолог
  • лечение кариеса 2-х зубов
  • художественная реставрация 2-х зубов
1 час
7 т.р.
Клепацкая
(Ларина) Софья Алексеевна
Стоматолог-терапевт, стоматолог-ортопед
  • профессиональная гигиена полости рта и зубов
  • обучение домашней гигиене
  • укрепление эмали зубов APF гелем
1 час
4,5 т.р.
Дьяченко
Екатерина Антоновна
Детский стоматолог, стоматолог-терапевт
  • профессиональная гигиена полости рта и зубов
  • обучение домашней гигиене
  • укрепление эмали зубов APF гелем
1 час
4,5 т.р.
Дьяченко
Екатерина Антоновна
Детский стоматолог, стоматолог-терапевт
  • профессиональная гигиена полости рта и зубов
  • обучение домашней гигиене
  • укрепление эмали зубов APF гелем
1 час
4,5 т.р.
Дьяченко
Екатерина Антоновна
Детский стоматолог, стоматолог-терапевт
  • лечение кариеса 2-х зубов
  • художественная реставрация 2-х зубов
1 час
7 т.р.
Дьяченко
Екатерина Антоновна
Детский стоматолог, стоматолог-терапевт
  • лечение кариеса 2-х зубов
  • художественная реставрация 2-х зубов
1 час
7 т.р.
Дьяченко
Екатерина Антоновна
Детский стоматолог, стоматолог-терапевт
  • профессиональная гигиена полости рта и зубов
  • обучение домашней гигиене
  • укрепление эмали зубов APF гелем
1 час
4,5 т.р.
Дьяченко
Екатерина Антоновна
Детский стоматолог, стоматолог-терапевт
  • лечение кариеса временного зуба
1 час
4 т.р.
Дьяченко
Екатерина Антоновна
Детский стоматолог, стоматолог-терапевт
  • герметизация фиссур временного зуба
1 час
2000
Дьяченко
Екатерина Антоновна
Детский стоматолог, стоматолог-терапевт